If you have irregular teeth alignment
![]()
Among the cases treated by the head of our hospital, there have been cases where serious malocclusion has made it difficult to write or complained of aesthetic complexes.
![]()
The two people I’m going to introduce now are exactly like that.I summarized the details as follows. Case 1. I want to choose the front teeth
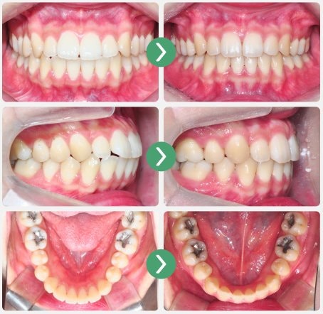
A woman in her 30s at the time of her visit said that she feels a disadvantage in appearance whenever she smiles.
![]()
The arrangement of the front part is not good, but the center line was out of alignment first.It was confirmed that the right lateral incisor is inside the lower tooth.The two lower front teeth are also bent.Overall, improvements seemed necessary.
The overall arrangement of the upper jaw was chosen in addition to the right incisor angle.However, there were many problems at the bottom.If the defect of the molar was left unattended for a long time, most of the bad palaces would have collapsed.The Ministry of Detention judged that the correction of Songdo teeth related to this is urgent because the writing ability has greatly decreased. Specific method 1) No additional tooth extraction has been performed.2) I focused on making even teeth alignment.3) Adjacent wisdom teeth replaced the molars.It took about two years to completely recover like this.First of all, it looks much better when viewed from the front view.The upper and lower occlusions were also completed beautifully.The person himself was very satisfied.Incorrectly tilted maxillary incisors are also positioned at the correct angle.I was able to finish the palace into an ideal arch.The lower teeth were similarly completed.It was possible to perform the writing function by re-positioning and fixing it so that the third mouth could play its original role. Case 2. I’m worried because of my double teethThis time, a first-year middle school girl asked for counseling after visiting the hospital, saying she needed to correct her teeth in Songdo.The position of the fangs stood out.The left and right incisors of the upper jaw were hidden behind, and the arrangement of the lower teeth was very bad.The center line was also slightly bent.We looked at each one individually.First of all, as I said, the upper teeth had front teeth on both sides of the large tooth, so it didn’t come out properly.The fangs are also in the wrong position.It was the same at the bottom.In particular, I was able to confirm the slight difference in the angle of the permanent teeth toward the front teeth.First of all, the width of the maxilla was found to be a little narrower than the lower jaw.Therefore, I tried to secure the appropriate space by using an evil palace expansion device.After that, we removed a total of four small pieces symmetrically on the top, bottom, left and right sides.The permanent teeth were cleaned using the additional space.It took about two years and four months to finally recover completely.By solving all the problems mentioned above, Songdo teeth correction has been completed.The upper and lower centerlines also match exactly, and the cones are also in the correct position.The teeth alignment changed very evenly.The patient was also very satisfied.The upper teeth are arranged beautifully, and the lower teeth are arranged beautifully.During the finishing process, fixation retention devices were installed in the snow-side direction to prevent recurrence of malocclusion. A correctional specialist from Seoul National University with more than 20 years of experienceSo far, we have seen cases of two people who have solved irregular teeth alignment. I found that in some cases, tooth extraction may or may not be done.Even if they look similar, treatment can vary depending on various individual factors. In addition, even the same patient may have different diagnoses and prescriptions depending on the doctor.Therefore, it is known that Songdo dental correction is quite difficult to change the medical staff in the middle. Therefore, careful choice has always been emphasized.Eventually, if the improvement fails or the number of visits is changed due to unavoidable circumstances, the burden on time and cost may increase, and related cases are summarized in the following sentence.As you will know if you read it, the first prerequisite for successful results is stable treatment. In particular, it is important that the doctor in charge should not change.Since competent medical staff should be able to fulfill their responsibilities until the end, the representative director of this hospital will be in charge of the treatment himself. I’ve been paying close attention to post-management.Of course, he has considerable medical ability. I have more than 20 years of clinical experience as a correctional specialist from Seoul National University. We have more than 2,000 cases in the field of correction.He has abundant clinical experience to solve even such difficult and complicated cases without difficulty, and has constantly accumulated technically skilled know-how. Systematic precision diagnosis and thorough hygiene management systemIn addition, you can emphasize the importance of customized planning for Songdo dental correction. You must be able to apply the method that best suits each person.This requires a thorough understanding of the various individual elements. Therefore, we built a digital system that utilizes X-ray, 3D-CT, and correctional specialized diagnostic programs.In addition, it is important to find the right timing when targeting children. If you miss the time, the treatment itself can be impossible or difficult.Therefore, based on numerous clinical data from correctional specialists, we prepared an AI growth observation program that utilizes artificial intelligence and supported it through in-depth consultation with parents.In addition, most dental treatments require long-term opening, so special attention should be paid to the side effects of cross-infection.Therefore, we followed the principle of using one device per person and tried to maintain a hygienic environment with a bilose system that eradicates COVID-19. a place to be trusted with honest medical philosophyAs a doctor and mother of two children, the representative director of Seoul Army Orthodontics always welcomes you warmly. I completely refuse excessive medical treatment.Therefore, he stuck to a rational reward policy with scientific diagnosis. We are also kindly discussing installment payments, so if you need to correct your Songdo teeth, please feel free to contact us anytime.As a doctor and mother of two children, the representative director of Seoul Army Orthodontics always welcomes you warmly. I completely refuse excessive medical treatment.Therefore, he stuck to a rational reward policy with scientific diagnosis. We are also kindly discussing installment payments, so if you need to correct your Songdo teeth, please feel free to contact us anytime.Songdo Seoul Army Orthodontics Seoul National University Dental College, where you are good at orthodontic treatment, adult orthodontic treatment, growing children’s correction, and dental re-calibration www.songdoami.comSongdo Seoul Army Orthodontics Seoul National University Dental College, where you are good at orthodontic treatment, adult orthodontic treatment, growing children’s correction, and dental re-calibration www.songdoami.comSeoul Ami Orthodontics Dental Clinic 4F, Building B, 22GTX Building, 178 Harmony-ro, Yeonsu-gu, IncheonSeoul Ami Orthodontics Dental Clinic 4F, Building B, 22GTX Building, 178 Harmony-ro, Yeonsu-gu, IncheonSeoul Ami Orthodontics Dental Clinic 4F, Building B, 22GTX Building, 178 Harmony-ro, Yeonsu-gu, IncheonPrevious Image Next ImagePrevious Image Next ImagePrevious Image Next Image